At a Glance:
Gingivitis is a common, early form of gum inflammation caused by plaque buildup and is usually reversible with consistent care. Even regular brushing may miss key areas, especially along the gumline and between teeth. Noticeable improvement often begins within 7–14 days when plaque is effectively removed.
Bleeding gums, mild swelling, or irritation during brushing are common concerns that many people notice at some point. These signs are often linked to gingivitis, an early stage of gum inflammation that can usually be reversed with the right care.
Although gingivitis is common, it should not be ignored. When left unaddressed, it can gradually progress into more serious gum problems that are harder to manage.
The key difference is timing; early attention can help stop the process before it advances.
The good news is that improvement can happen relatively quickly when the underlying cause is addressed properly. Understanding what is happening and taking the right steps early can make a meaningful difference in how the gums respond.
When Gingivitis Should Not Be Ignored

Gingivitis is reversible, but timing matters. Delays can allow inflammation to progress into more advanced gum disease that affects deeper structures.
Professional evaluation is recommended when:
- Bleeding continues beyond 7–10 days despite improved brushing and flossing
- Gum inflammation becomes more noticeable or spreads
- The gumline begins to recede or change shape
- There is a personal or family history of gum disease
Addressing these signs early helps prevent progression and supports long-term gum stability.
How to Stop Gingivitis Fast (and Reduce Bleeding Quickly)

Gingivitis can often improve relatively quickly when the right steps are taken early. “Fast” in this context means reducing inflammation and bleeding within days, not achieving an instant cure. Consistent technique and daily habits play the most important role.
Immediate Control (First 7–14 Days)
Early improvement focuses on removing plaque effectively at the gumline. Brushing should be gentle and angled toward the gums to clean where buildup collects. Daily interdental cleaning, such as floss or small brushes, helps remove plaque between teeth where brushing cannot reach.
Short-term use of antimicrobial or anti-inflammatory rinses, such as saltwater, may also help soothe inflamed gum tissue. Together, these steps can lower inflammation and reduce bleeding within the first one to two weeks when done consistently.
What Can Be Managed at Home vs When to Seek Professional Care
Early gingivitis often responds well to improved brushing and flossing, especially when plaque is the main cause. However, once plaque hardens into tartar or symptoms persist, home care alone is usually not enough.
Professional care is recommended when:
- Bleeding continues beyond 7–10 days despite improved brushing and flossing
- Gum inflammation becomes more noticeable or spreads
- The gumline begins to recede or change shape
- Symptoms are not improving or continue to return
In these cases, a professional dental cleaning may be needed to remove tartar and allow the gums to heal properly. Evaluation also helps identify areas that are difficult to clean and ensures that inflammation is fully resolved.
Stabilization & Prevention
Once inflammation begins to settle, the focus shifts to maintaining that improvement. A follow-up assessment can help confirm that the gums have returned to a healthier state and are responding well to care.
Ongoing daily habits, including consistent brushing and interdental cleaning, are important for preventing recurrence. Long-term gum health depends on maintaining these routines rather than relying on short-term fixes.
When Gingivitis Needs Professional Care

Gingivitis often improves with consistent home care, but some situations require additional support. Recognizing when symptoms are not resolving as expected can help guide the next steps without delay.
Bleeding That Persists Beyond 7–10 Days
If gum bleeding continues after a week of improved brushing and flossing, it may indicate that plaque buildup is not being fully managed at home. Persistent inflammation can require professional removal of irritants.
Inflammation That Spreads or Worsens
Gums that become more swollen, red, or tender over time may suggest that inflammation is progressing rather than improving. This change can indicate that the underlying cause is still active.
Gum Recession or Visible Changes
If the gumline appears to be pulling back or teeth look slightly longer, it may reflect early structural changes. These signs can benefit from evaluation to understand what is driving the shift.
Tartar Buildup That Cannot Be Removed at Home
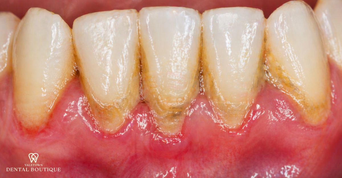
When plaque hardens into tartar, it attaches firmly to the tooth surface and cannot be removed with regular brushing. At this stage, it may be an appropriate time for a professional dental cleaning, often referred to as dental cleaning time, to help restore gum health.
Risk Factors or History of Gum Disease
Individuals with a history of gum concerns or contributing factors such as smoking or certain health conditions may need closer monitoring. If symptoms are not improving, scheduling dental check-ups in Yaletown at Yaletown Dental Boutique can help assess gum health and determine whether additional care is needed.
Why Gingivitis Develops

Gingivitis develops primarily from plaque buildup along the gumline. Plaque is a thin layer of bacteria that forms naturally on teeth throughout the day. When it is not removed effectively, it accumulates where the teeth meet the gums, triggering an inflammatory response in the surrounding tissue.
Even people who brush regularly can develop gingivitis if plaque is not being removed thoroughly. A common issue is missing the gumline during brushing, where bacteria tend to collect most easily. In addition, skipping interdental cleaning allows plaque to remain between teeth, where a toothbrush cannot reach.
Daily habits influence how much plaque stays in place and how the gums respond to it. Brushing technique, frequency, and attention to detail all play a role. When these habits are inconsistent or incomplete, plaque remains undisturbed, allowing inflammation to persist over time.
Other factors can modify how the body reacts to this buildup. Smoking, stress, and certain health conditions can affect the immune response, making the gums more sensitive to irritation or slower to recover. Gingivitis often develops through this combination of plaque presence, daily habits, and individual risk factors rather than a single cause.
Early Signs You Shouldn’t Ignore
Early signs of gingivitis are often subtle and painless, which makes them easy to overlook. Recognizing small changes in gum appearance or behaviour can help identify inflammation before it becomes more noticeable.
- Bleeding during brushing or flossing, even with gentle technique, is often one of the earliest signs of gum inflammation rather than a result of brushing too hard.
- Gums may appear red, slightly swollen, or unusually smooth and shiny instead of firm and pale pink, indicating changes in the tissue caused by irritation.
- Persistent bad breath that does not improve with regular brushing can be linked to bacterial buildup along the gumline and between teeth.
- Mild tenderness or a feeling of irritation in the gums may be present, even without pain, especially when eating or during oral hygiene routines.
- Subtle changes in gum shape or contour, such as slight puffiness or uneven edges, may develop gradually and are often noticed only over time.
What Gingivitis Actually Is

Gingivitis is a form of gum inflammation caused by plaque buildup along the gumline. In simple terms, it is the body’s response to bacteria sitting on the teeth, leading to irritation in the surrounding gum tissue. At this stage, the issue is limited to the gums and does not affect deeper structures.
Importantly, gingivitis does not involve bone loss or damage to the attachment that holds teeth in place. Because the underlying support structures remain intact, the condition is considered reversible when addressed with proper care and consistent oral hygiene.
This is what separates gingivitis from periodontitis, which is a more advanced stage of gum disease. In periodontitis, inflammation extends deeper and leads to structural damage, including bone loss. The key difference is that gingivitis affects soft tissue only, while periodontitis involves lasting changes to the support around the teeth.
Why Professional Care Matters
Daily brushing and rinsing play an important role in controlling plaque and keeping the gums healthy. However, these methods have limits. Plaque can harden into tartar over time, and once this happens, it cannot be removed with regular home care. In addition, certain areas (such as between teeth or along the gumline) are easy to miss, even with careful brushing.
When buildup remains in these areas, the gums may continue to stay irritated despite consistent effort at home. This is where professional evaluation becomes important. It helps identify hidden accumulation, areas that are difficult to clean effectively, and patterns that may not be obvious during routine care.
The Yaletown Dental Boutique Approach

Gum health is approached by first understanding what is happening at the tissue level before making any decisions about care. At Yaletown Dental Boutique, this begins with evaluating gum condition, identifying areas of inflammation, and assessing how daily habits and individual risk factors may be contributing.
This type of diagnostic-first approach helps ensure that care is based on actual findings rather than assumptions. Instead of applying the same recommendations to every situation, the focus is on identifying what is specific to the individual and adjusting guidance accordingly.
Long-term gum health is closely connected to overall oral stability. In some cases, this may involve broader considerations related to restorative dentistry in Yaletown provided within our clinic, where maintaining healthy gums supports the success and longevity of dental work over time.
The overall goal is to support prevention and consistency rather than short-term correction. By focusing on early identification and steady maintenance, care is guided toward reducing the likelihood of progression and supporting lasting oral health.
Conclusion
Gingivitis is often easy to overlook, especially when symptoms are mild or painless. However, it is also one of the few conditions where early action can make a complete difference. When plaque is managed properly and inflammation is addressed in time, gum health can often return to a stable, healthy state without lasting damage.
The challenge is that improvement depends on both technique and timing. Even with regular brushing, missed areas at the gumline or lingering buildup can allow inflammation to continue. Recognizing when home care is working and when it is not plays an important role in preventing progression.
If bleeding, irritation, or visible changes do not improve, a professional evaluation can help clarify what is happening beneath the surface. At Yaletown Dental Boutique, booking an appointment allows for a closer assessment of gum health, helping identify contributing factors and guiding the next steps toward long-term stability.
How to stop gingivitis quickly?
Focus on consistent plaque removal with gentle brushing at the gumline and daily flossing. Early improvement often appears within days, but consistency is key to reducing inflammation.
How long does it take for gingivitis to go away?
With proper care, gingivitis may begin improving within one to two weeks. Full resolution depends on consistency, plaque removal, and whether any buildup remains that requires professional attention.
Can gingivitis go away on its own?
Gingivitis does not usually resolve without changes in oral care. Removing plaque consistently is necessary for inflammation to improve and prevent progression to more advanced gum conditions.
Why do my gums bleed when I brush?
Bleeding gums are often a sign of inflammation caused by plaque buildup. Even with brushing, missed areas along the gumline can allow irritation to persist.
When should I see a dentist for gingivitis?
If bleeding continues beyond about one week of improved care, or if symptoms worsen, a professional evaluation can help identify areas that are not resolving.
Can gingivitis turn into gum disease?
If left unaddressed, gingivitis can progress into periodontitis, where deeper structures are affected. Early care helps prevent this progression and supports long-term gum health.


